Make your teeth bright and beautiful with teeth whitening in Marathahalli at Dental Canvas
Ever looked at a dazzling white smile and thought, "I wish mine looked like that!"? Well, good news—teeth whitening can help you get there! Stains happen whether it’s coffee, tea, smoking, or just time playing tricks on your teeth. But don’t worry. If you’re in Marathahalli dreaming of a brighter smile, you’re in the right place.
This page will walk you through teeth whitening—what it is, why teeth get discolored, the different treatments available, and how to keep that shine long after your treatment!
What is Teeth Whitening?
Teeth whitening is a cosmetic dental procedure that helps remove stains and discoloration, making your teeth look brighter. It’s one of the easiest ways to enhance your smile without any complicated procedures.
There are different ways to whiten teeth—some done by dentists and others you can try at home. The best method depends on how stubborn your stains are, your budget, and how fast you want results.
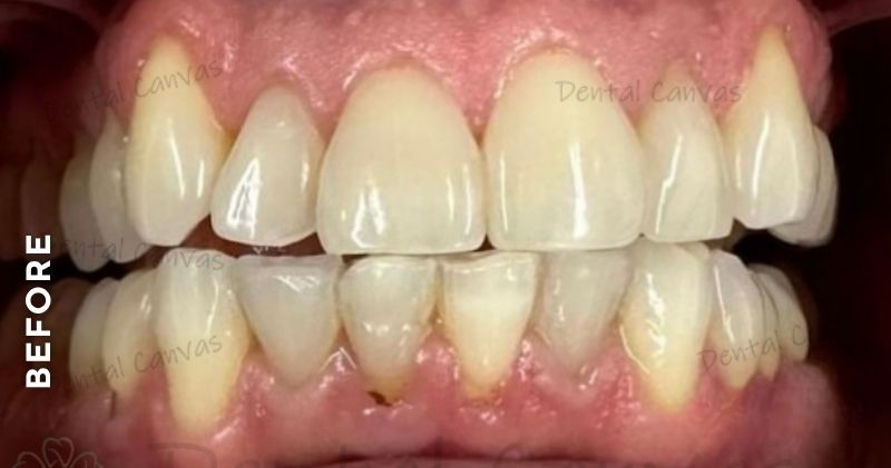
Why Do Teeth Get Stained?
There are several reasons why teeth lose their shine:
Food & Drinks: Coffee, tea, red wine, and fizzy drinks can leave stains over time.
Smoking & Tobacco: Nicotine and tar love sticking to your teeth, turning them yellow or brown.
Poor Oral Hygiene: If you don’t brush and floss properly, plaque builds up and dulls your teeth.
Aging: Over time, enamel wears down, exposing the yellowish layer beneath.
Medications: Some medicines, including antibiotics and chemotherapy, can cause discoloration.
Genetics: Some people naturally have teeth that aren’t bright white, thanks to their DNA.
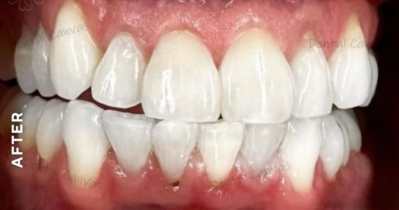
Professional Teeth Whitening in Marathahalli
This is the quickest and most effective way to whiten teeth. You walk into a clinic with dull teeth and walk out with a noticeably brighter smile!
Laser Teeth Whitening: A special gel is applied to your teeth, and a laser activates it to break down stains. The process takes approximately one hour and provides instant results.
What Happens During Professional Teeth Whitening?
Thinking about getting your teeth whitened at a clinic? Here’s what to expect:
Step 1: Consultation: The dentist checks your teeth and gums to ensure you’re a good candidate.
Step 2: Cleaning: Your teeth will be cleaned to remove plaque and tartar for even whitening.
Step 3: Protection: A barrier shields your gums and lips from the whitening gel.
Step 4: Whitening Gel Application: A high-concentration gel (stronger than OTC products) is applied to your teeth.
Step 5: Light or Laser Activation: A special light or laser helps speed up the process and break down stains.
Step 6: Rinse & Check: Your dentist rinses off the gel, checks the results, and may apply fluoride to reduce sensitivity.
Step 7: Aftercare Tips: You’ll get advice on maintaining your new bright smile!
Post-Whitening Care: Keeping Your Smile Bright
To make your whitening last longer, follow these simple tips:
Avoid Staining Foods & Drinks: Avoid coffee, tea, wine, and dark sauces.
Quit Smoking: Tobacco stains teeth quickly!
Brush & Floss Daily: Good oral hygiene keeps stains away.
Use a Straw: Helps prevent drinks from touching your front teeth.
Visit Your Dentist Regularly: Professional cleanings help maintain your bright smile.
Use Whitening Toothpaste: Helps maintain results in between treatments.
Teeth Whitening Cost in Marathahalli
The cost of teeth whitening depends on the type of treatment you choose, severity of discoloration, and overall oral health.
Book an appointment with our expert at Dental Canvas to determine the estimated cost of teeth whitening in Marathahalli. Consult with our experts for more information.
Laser Teeth Whitening in Marathahalli
Laser teeth whitening is a quick and effective way to brighten your smile. This advanced treatment uses a laser to activate a whitening gel applied to your teeth, helping to remove stains and discoloration.
The procedure is painless, takes about an hour, and provides immediate results. If you're looking for a fast and reliable way to achieve laser teeth whitening in Marathahalli, look no further than Dental Canvas. Our teeth laser teeth whitening treatments are safe, non-invasive, and offer long-lasting results with minimal discomfort.
Why Choose Dental Canvas for Teeth Whitening in Marathahalli?
Dental Canvas - The best dental clinic in Marathahalli. This is the place where you can feel at home. We offer safe, effective, and professional teeth whitening!
- Experienced Dentists: Specialists in cosmetic dentistry.
- Advanced Technology: State-of-the-art equipment for the best results.
- Personalized Treatments: Customized whitening plans for your needs.
- Affordable Pricing: High-quality care at reasonable rates.
Conclusion
If you’re looking for teeth whitening in Marathahalli, Dental Canvas is ready to help. Schedule a consultation with our expert for more information.
Book your consultation today and let your smile shine!
Frequently Asked Questions
The cost of teeth whitening in Bangalore varies depending on the method used and the severity of the teeth's staining. Consultation and treatment quality can also affect the final price.
In-clinic laser or Zoom whitening is the most effective and fastest option. However, using over-the-counter products can affect your teeth, so professional teeth whitening is considered more trustworthy and effective.
Permanent whitening isn’t possible, but long-lasting results can be maintained by avoiding staining foods, practicing good oral hygiene, using touch-up whitening products, and visiting your dentist regularly.
