Keep Your Smile Healthy with Professional Teeth Cleaning in Marathahalli
Your smile is often the first thing people notice about you, and keeping it bright and healthy starts with proper teeth cleaning. Regular brushing and flossing are great, but sometimes, your teeth need extra care. That’s where professional teeth cleaning comes in! It helps remove plaque, tartar, and stains that your toothbrush can’t tackle on its own, keeping your teeth and gums in top shape.
If you are considering teeth cleaning in Marathahalli, there is no other dental clinic more trusted than Dental Canvas. We provide scaling and polishing, deep cleaning treatments, and routine checkups that can make a huge difference in your oral health.
What is Professional Teeth Cleaning?
Think of professional teeth cleaning as a deep cleanse for your mouth. Even if you brush and floss daily, there are areas in your mouth where plaque and tartar build up over time. When left untreated, these can lead to cavities, gum disease, and bad breath.
A professional cleaning, done by a dentist or a hygienist, removes all the hidden buildup. It’s a simple yet effective way to prevent serious dental problems and maintain a clean smile.
Benefits of Professional Teeth Cleaning
Getting your teeth professionally cleaned isn’t just about looking good—it’s about keeping your mouth healthy. Here’s why regular cleanings are essential:
Prevents Gum Disease: Plaque buildup can irritate your gums, leading to gingivitis (early-stage gum disease). A professional cleaning removes this buildup, like periodontitis, before it becomes more serious.
Reduces the Risk of Cavities: Plaque and tartar are the main culprits behind tooth decay. Getting them cleaned off regularly helps prevent cavities from forming.
Gives You a Brighter Smile: Over time, food, tea, coffee, and smoking can stain your teeth. Professional cleaning helps remove these stains, giving you a whiter smile.
Freshens Your Breath: Bacteria and plaque buildup can cause bad breath. A thorough cleaning eliminates these odor-causing bacteria, leaving your mouth feeling fresh.
Saves You Money in the Long Run: Preventive care is always cheaper than major dental treatments. Regular teeth cleanings can help you avoid costly procedures down the line.
What Happens During a Teeth Cleaning Session?
If you’ve never had a teeth cleaning before, here’s what you can expect:
Examination: The Dentist will check your oral health, teeth and gums to identify any problem areas. Sometimes, X-rays may be taken to detect hidden issues.
Scaling: Using special tools, your dentist will remove plaque and tartar from your teeth and gumline. This step is crucial because tartar can’t be removed by brushing alone.
Polishing: After scaling, your teeth are polished to remove surface stains and smooth them, making it harder for plaque to stick in the future.
Flossing: After polishing, your dentist will floss between your teeth to remove any remaining debris.
Fluoride Treatment (Optional): Some patients receive a fluoride treatment to strengthen their enamel and prevent cavities.
The whole process is painless and usually takes about 30 to 60 minutes. After your cleaning, your teeth will feel smooth, fresh, and squeaky clean!
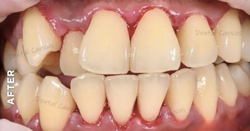
Teeth Scaling and Polishing in Marathahalli
Teeth scaling and polishing are great options for those looking for a deeper clean. Scaling removes tough tartar buildup, especially below the gumline, while polishing helps smooth and brighten teeth.
If you’re in Marathahalli, plenty of dental clinics offer professional scaling and polishing services to keep your teeth in the best condition, but no one matches the expertise of Dental Canvas, making it one of the trusted places for teeth cleaning in Marathahalli.
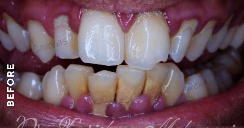
When Do You Need Deep Teeth Cleaning?
If you’ve been experiencing symptoms like bleeding gums, persistent bad breath, or gum sensitivity, your dentist may recommend a deep teeth cleaning treatment (also known as scaling and root planing).
Unlike a regular cleaning, deep cleaning targets the areas beneath the gumline where bacteria hide.
It helps treat gum disease and prevents further damage to your teeth and gums. The procedure may take multiple visits, and local anesthesia is often used to make it more comfortable.
Routine Dental Checkups: Why You Shouldn’t Skip Them
A dental cleaning, performed every six months, goes hand in hand with routine dental checkups. These checkups allow your dentist to identify potential issues early and keep your oral health on track.
During your visit, your dentist will:
Making these visits a habit ensures your smile stays strong and healthy for years to come!
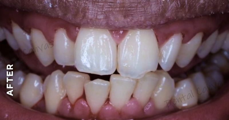
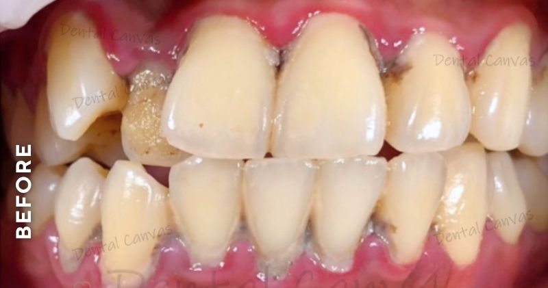
Plaque and Tartar Removal in Marathahalli
If you’re looking for plaque and tartar removal services in Marathahalli, professional cleanings are your best bet. Plaque is a sticky layer of bacteria that forms on your teeth, and when it hardens into tartar, it can only be removed by a dentist. Regular cleanings help prevent serious dental issues by getting rid of both.
FAQ's
Teeth cleaning is typically not painful. During the procedure, your dentist will use a local anesthetic if needed, particularly for deep cleanings or those with gum disease. Some patients may experience mild discomfort, especially if there is significant tartar buildup, but this is usually temporary and can be managed with prescribed medications.
Teeth whitening is generally safe when done professionally by a dentist. The whitening gels used in dental clinics are carefully controlled to ensure they are effective and minimize potential side effects.
The cost of teeth cleaning varies depending on the type of treatment you need and the severity of your oral health condition.
For more information about the teeth cleaning cost in Marathahalli, book an appointment with our expert at Dental Canvas.
Final Thoughts
Professional teeth cleaning is one of the best things you can do for your oral health. It keeps your teeth free from plaque and tartar, prevents cavities and gum disease, and gives you a bright, fresh smile. If you’re in Marathahalli, plenty of excellent dental clinics offer high-quality cleaning services to help you maintain a healthy mouth.
If it’s been a while, now’s the perfect time to book an appointment and give your smile the care it deserves
Need a reliable dentist for teeth cleaning in Marathahalli? Get in touch with our experts at Dental Canvas and keep your oral health in check!
