Braces Treatment in Marathahalli – A Complete Guide to a Straighter Smile
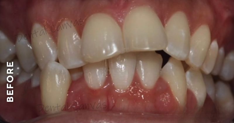
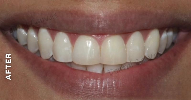
A confident smile can change everything, but if crooked or misaligned teeth are holding you back, braces might be the perfect solution you need. Whether you’re considering braces treatment in Marathahalli for yourself or your child, understanding the process, benefits, and types of braces available can help you make the best decision for your dental health.
At Dental Canvas – a dental clinic in Marathahalli – we specialize in advanced orthodontic treatments, including metal braces in Marathahalli, to help patients achieve straight, healthy smiles. Our expert orthodontists ensure that every patient receives personalized care, making the journey to a perfect smile as comfortable and effective as possible.
Why Braces? Understanding the Need for Orthodontic Treatment
Braces are more than just a cosmetic treatment—they play a crucial role in correcting misaligned teeth and bite issues. Here’s why braces are recommended:
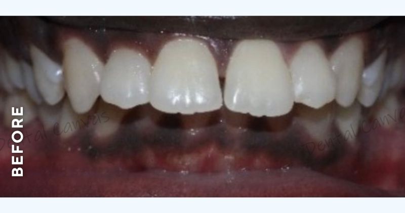
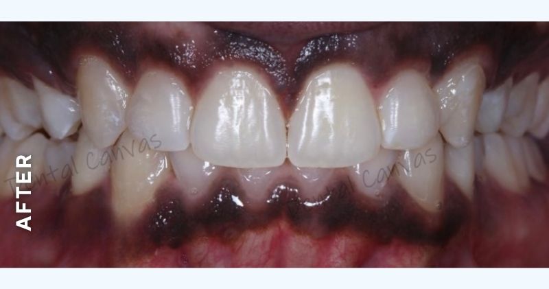
Corrects Misalignment – Straightens crooked, overcrowded, or gapped teeth.
Improves Bite Issues – Fixes overbite, underbite, crossbite, and open bite problems.
Enhances Oral Health – Properly aligned teeth are easier to clean, reducing the risk of cavities and gum disease.
Boosts Confidence – A straighter smile improves self-esteem and overall appearance.
If you or your child has misaligned teeth, difficulty chewing, or speech issues due to dental alignment, braces treatment could be the perfect solution. Book an appointment with our expert at Dental Canvas for braces treatment in Marathahalli.
Types of Braces – Which One is Right for You?
Orthodontic treatments have come a long way, and today, there are multiple options available depending on your needs, budget, and aesthetic preferences.
1. Metal Braces (Traditional Braces)
The most common and effective types of braces, metal braces, are made of high-grade stainless steel brackets and wires. These braces apply steady pressure on the teeth to gradually move them into place.
Highly Effective – Ideal for correcting severe misalignment and bite issues.
Affordable – Compared to other types, metal braces are the most cost-effective option.
Customizable – Colored bands allow kids and teens to personalize their braces.
While metal braces are visible, their effectiveness and affordability make them a popular choice for both teenagers and adults.
2. Ceramic Braces (Tooth Colored Braces)
Ceramic braces function just like metal braces but use tooth-colored or clear brackets that blend with natural teeth.
Less Noticeable – More discreet than traditional metal braces.
Suitable for Teens & Adults – Great for those who want a subtle look.
Effective for Moderate Cases – Works well for moderate misalignment issues.
Ceramic braces are more visually appealing, but they require more maintenance since they stain readily.
3. Lingual Braces
Lingual braces are placed on the back of the teeth, making them completely invisible from the front.
100% Hidden – A great option for people who don’t want visible braces.
Custom-Made – Designed to fit the shape of each tooth for better comfort.
Best for Adults & Professionals – Ideal for those who need a discreet treatment.
Lingual braces can take some time to adjust to and may be slightly more expensive, but they offer a great aesthetic advantage.
4. Clear Aligners (Invisible Braces)
Clear aligners, like Invisalign, are removable plastic trays that straighten teeth without wires or brackets.
Clear aligners work best for mild to moderate misalignment cases and require strict compliance—meaning they must be worn for at least 20-22 hours a day.
Braces Treatment in Marathahalli – The Process
Getting braces is a step-by-step journey, and knowing what to expect can make the process smoother.
Step 1: Consultation & Evaluation
Your journey starts with a complete dental checkup. The orthodontist will examine your teeth's alignment, jaw posture, and bite difficulties. X-rays and digital images may be used to develop a treatment plan specific to your requirements.
Step 2: Choosing the Right Braces
Based on the diagnosis, your orthodontist will recommend the best type of braces for you, whether it’s traditional metal braces or a more discreet option like ceramic or clear aligners.
Step 3: Placement of Braces
For metal and ceramic braces, brackets are attached to the teeth using dental adhesive, and wires are placed to guide tooth movement. The process is painless, but slight discomfort is normal for a few days.
Step 4: Regular Adjustments
Braces need periodic adjustments (every 4-6 weeks) to ensure steady tooth movement. These visits also help in monitoring progress and addressing any discomfort.
Step 5: Completion & Retainers
Once your teeth have reached their correct position, the braces are removed, and retainers are provided to maintain the alignment. Retainers prevent teeth from shifting back to their original position.
To learn more about the braces treatment in Marathahalli, book an appointment with our expert at Dental Canvas.
Caring for Braces – Tips for a Smooth Treatment
Braces require special care to ensure good oral health and effective results. Here’s how to take care of them:
Brush & Floss Properly – Use an interdental brush and floss daily to prevent plaque buildup around brackets.
Watch Your Diet – Avoid sticky, hard, or chewy foods that can damage braces.
Use Orthodontic Wax – Helps ease discomfort caused by brackets or wires.
Attend Regular Checkups – Adjustments and professional cleanings are essential.
Following these tips will help you achieve the best results without complications.
Why Choose Our Dental Clinic for Braces Treatment in Marathahalli?
Dental Canvas in Marathahalli is committed to providing top-quality orthodontic care with a patient-friendly approach. Here’s why we stand out:
Expert Orthodontists – Experienced professionals specializing in braces and aligners.
Advanced Technology – Digital scanning and modern braces for precise treatment.
Personalized Treatment Plans – Customized solutions based on your dental needs.
Affordable Pricing – Competitive rates with flexible payment options.
Comfortable & Hygienic Environment – Ensuring a stress-free experience.
Whether you’re looking for metal braces in Marathahalli or seeking the expertise of a Top Orthodontist for Invisible Braces in Marathahalli, our clinic offers reliable, affordable, and effective solutions. We are committed to helping you achieve a beautiful, confident smile with the best orthodontic care available.
FAQs About Braces Treatment
The duration depends on the severity of misalignment, but on average, it takes 12-24 months.
Braces don’t hurt during placement, but mild discomfort is common for a few days after adjustments.
Yes! Orthodontic treatment is effective at any age. Many adults opt for braces to correct their smiles.
Braces are most effective between ages 10-14, but they work well for adults too.
Costs vary based on the type of braces, but metal braces are usually the most affordable option. For more information about the braces treatment cost in Marathahalli, book an appointment with our expert.
