Bring back your beautiful smile with denture treatment in Marathahalli at Dental Canvas
Struggling with missing teeth? Don’t worry, you’re not alone—and you’re not out of options. At Dental Canvas, we bring back more than just your smile. We help restore your confidence, your ability to chew your favorite snacks (yes, even the crunchy ones), and your ease of speaking. If you’re searching for denture treatment in Marathahalli, you’ve just landed on the right page.
Whether you need complete denture or partial denture treatment in Marathahalli, or you're just curious about dentures, we’ve got answers lined up for you like pearls on a string.
So, What Exactly Are Dentures?
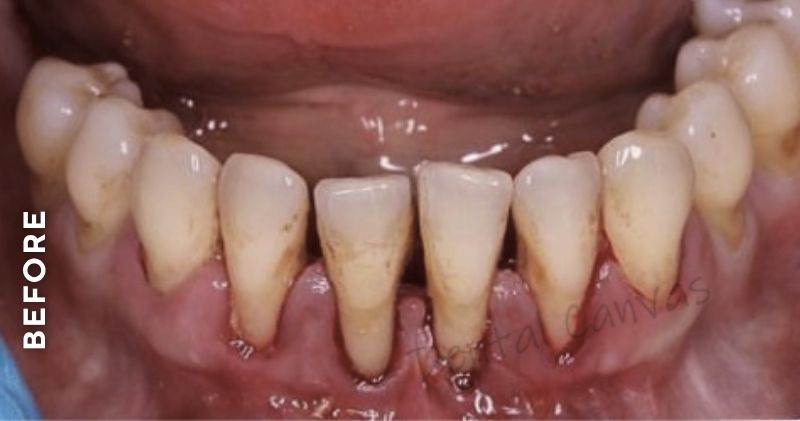
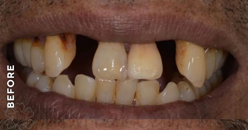
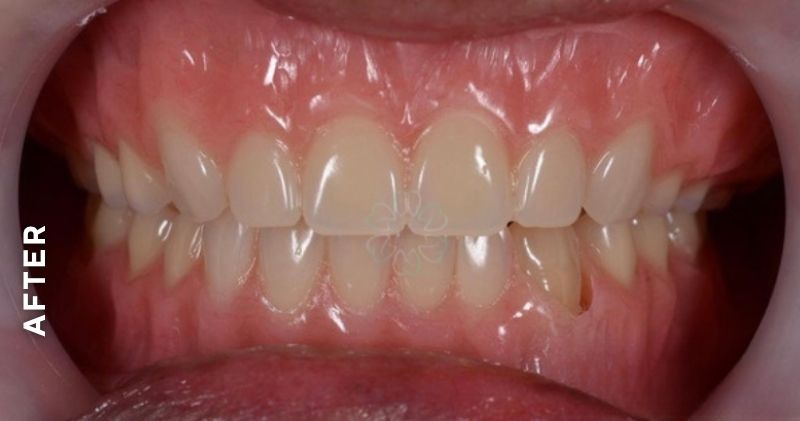
Dentures are removable dental appliances designed to replace missing teeth and restore the appearance and function of your smile. They are custom-made to fit your mouth comfortably and can be full or partial, depending on how many teeth need replacing.
Full dentures are used when all the teeth are missing, while partial dentures are ideal for individuals who have lost some but not all of their teeth.
Dentures improve your appearance and enhance your ability to chew, speak, and maintain proper oral hygiene. With modern advancements, dentures are more natural-looking, durable, and comfortable than ever.
Complete Dentures
When all teeth have been removed (top, bottom, or both), complete dentures step in as a full replacement.
Partial Dentures
Lost a few but still have some teeth left? Partial dentures will blend in and support the rest.
And yes, we custom-make them so they don’t feel like a foreign object in your mouth. Modern dentures are now more natural-looking, durable, and surprisingly comfortable. You'll probably forget you're even wearing them!
Why Should You Even Consider Dentures?
Let’s face it—chewing with half a smile isn’t fun. And speech? It becomes a guessing game. Missing teeth can affect not just your looks but also your health.
Here’s how dentures can help:
✅ Chew Like a Champ – Properly fitted dentures allow you to eat comfortably. No more skipping corn on the cob!
✅ Speak with Confidence – Words come out clearer. No more repeating yourself.
✅ Smile Restored – Aesthetics matter. Your new dentures can make your smile look completely natural.
✅ Better Oral Health – Dentures keep your remaining teeth from shifting and prevent future jawbone loss.
Types of Dentures Available at Our Marathahalli Dental Clinic
Because no two mouths are the same, we offer a few options:
1. Full Dentures
These are for people who have lost all their teeth in either the upper or lower jaw. They're designed to cover the entire gum line and look as close to natural teeth as possible.
For more information, schedule a consultation with our expert for complete denture treatment in Marathahalli.
2. Partial Dentures
Still have some teeth? We’ll build around them! Partial dentures fill in the gaps and prevent existing teeth from playing musical chairs and shifting positions.
3. Implant-Supported Dentures
Want something more stable? These are like the VIP version of dentures. We place implants into your jawbone, and the dentures snap onto them. No slippage. No clicking noises. Just solid, secure teeth.
4. Flexible Dentures
Not a fan of rigid plastic? Flexible dentures bend and mold to your mouth shape. They're softer on your gums and more discreet. Plus, they’re a great pick if you’re prone to irritation.
What’s the Process Like?
Now, we won’t sugarcoat it—it’s not a one-day job. But it's not rocket science either. Here's what to expect:
Step 1: Initial Consultation
You meet our friendly dentist. Our expert dentist will examine your teeth (or the lack thereof) and discuss your right denture.
Step 2: Impressions & Design
We take impressions of your mouth. These act like blueprints to custom-craft your dentures to perfection—shape, size, and even color!
Step 3: Trial Fitting
We make adjustments if needed. No pressure points, no awkward bites.
Step 4: Final Fitting
Once everything feels right, we hand over your dentures and teach you how to use and care for them. Go ahead—smile in the mirror!
Denture Aftercare Tips
Your dentures are like your new set of best friends. Treat them well, and they’ll stick around for years.
Clean Them Daily – Rinse after eating and brush them daily using a soft brush and denture cleaner (no, not toothpaste—it’s too abrasive).
No Harsh Chemicals – Bleach and hot water are strictly a no.
Store Them Right – Keep them soaked in water or denture solution when not in use.
Routine Check-ups – Visit your dental clinic regularly. Over time, your gums may change shape so that adjustments might be needed.
How Much Do Dentures Cost in Marathahalli, Bangalore?
While considering the dentures, the common thought appears - dentures cost. The price depends on the type of denture, the materials used, and the complexity of your case.
At Dental Canvas, we believe in value. We offer flexible payment options—a healthy smile shouldn’t break the bank.
Why Choose Dental Canvas for Denture Treatment in Marathahalli?
There are many dental clinics in Bangalore. So, why are we the go-to for denture treatment in Marathahalli?
Experienced Team – Our dentists know their stuff. Years of experience, steady hands, and a sharp eye for detail.
Advanced Dental Tech – We use digital impressions and modern materials to make your dentures as precise and comfortable as possible.
Personalized Approach – No one-size-fits-all. We listen to your concerns, understand your preferences, and plan your treatment accordingly.
Affordable Excellence – Great care doesn’t have to come with a jaw-dropping price tag.
Convenient Location – Easily accessible from anywhere in Bangalore.
Let’s Get You Smiling Again!
Are you ready to bring back that confident, natural smile? Book a consultation with our experts at Dental Canvas, your trusted dental clinic for denture treatment in Marathahalli. We’ll walk you through every step—from consultation to aftercare.
Don’t let missing teeth hold you back. Let us help you chew, speak, and smile freely again.
📞 Call us today or book an appointment online. Your journey to a beautiful, functional smile starts now—with the best dentures in Bangalore!
FAQs
Yes, dentures are designed to be worn permanently, but they are removable. Full and partial dentures are typically worn throughout the day and removed at night for cleaning and rest. Over time, as your gums and bone structure change, dentures may need to be adjusted or replaced for optimal fit and comfort.
The cost of dentures in Marathahalli, Bangalore,can vary depending on the type of dentures (full or partial) and the materials used. Generally, dentures are available in a range of prices, with high-quality options and custom fittings being more expensive. It's best to consult local clinics for a more precise estimate.
Yes, you can eat with dentures, but it may take some time to get used to them. Soft foods are easier to manage initially, and you should avoid hard, sticky, or chewy foods until you're comfortable with the fit. As you adjust, you can gradually resume eating most foods, though some care is needed to avoid damaging the dentures.
