Enhance & Improve Your Smile with Veneers and Laminates Service in Marathahalli
Is your smile not reflecting the confidence you feel inside? Dental veneers and laminates can be the ideal solution to restore your smile's natural beauty if you've been struggling with imperfections like chipped, gaps, or stained teeth.
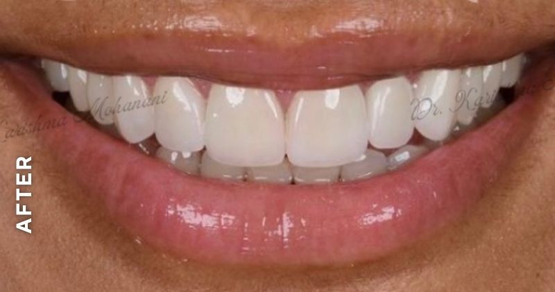
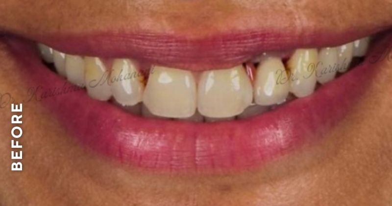
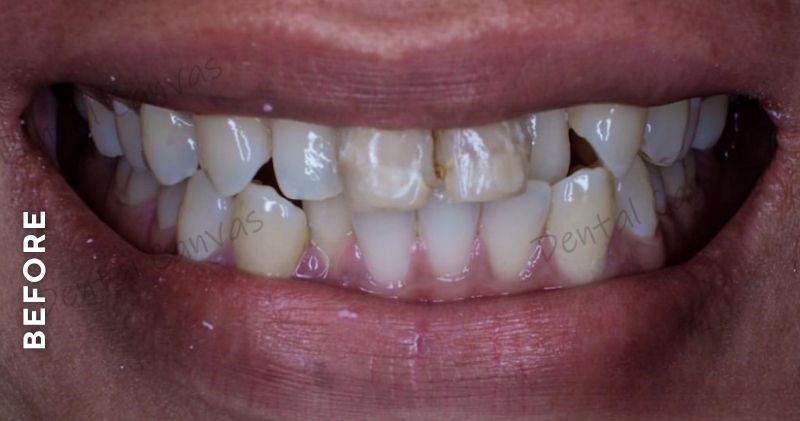
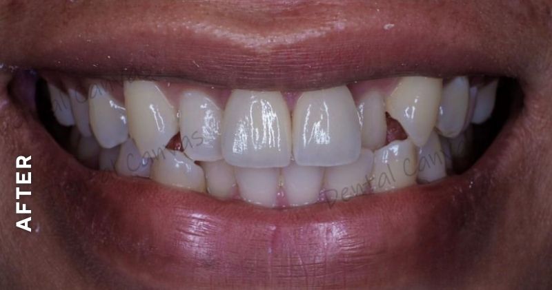
These modern cosmetic treatments are designed to enhance & improve the shape, color, and overall appearance of your teeth, giving you the bright, flawless smile you deserve. Dental Canvas is the best destination to get veneers and laminates in Marathahalli. Dental veneers are a popular, safe, and effective treatment that may transform your smile in only a few visits. Veneers and laminates provide a long-lasting and natural-looking remedy for cosmetic or minor dental concerns.
What Are Dental Veneers and Laminates?
Dental veneers and laminates are ultra-thin, custom-made shells bonded to your teeth' front surface. They are designed to improve the appearance of your smile by fixing a wide range of dental imperfections.
Dental Veneers: Made of porcelain or composite resin, these cover a larger portion of the tooth. Porcelain veneers are especially popular due to their durability and natural appearance.
Laminates: These are a thinner version of veneers, mainly used for minor cosmetic corrections. Laminates usually require minimal enamel removal and are a good choice if you want a quick enhancement to your natural teeth without much alteration.
Veneers and laminates are important elements in smile design services, which involve operations to generate a more balanced, aesthetically pleasing smile.
Why Choose Veneers or Laminates?
Here are a few reasons why people in Bengaluru are increasingly opting for Smile Designing in Marathahalli:
Aesthetic Transformation: Veneers can fix damaged, discoloured, uneven, or gapped teeth. They instantly improve your smile's symmetry, brightness, and contour, making you look and feel more confident.
Long-Lasting Results: With right care, porcelain veneers can last several years. They're also stain-resistant, so you don’t have to give up your favorite coffee or wine.
Quick and Minimally Invasive: Veneers need fewer dental appointments and tooth preparation than braces or crowns. Most treatments need just 2-3 sessions.
Easy Maintenance: Veneers don’t require special care. Regular brushing, flossing, and dental check-ups are enough to maintain their look and function.
Benefits of Veneers and Laminates
Natural Look: The translucent nature of porcelain closely mimics real tooth enamel.
Stain Resistance: Say goodbye to yellowing teeth. Porcelain veneers resist stains from coffee, tea, and tobacco.
Immediate Results: You walk out with a brand-new smile in just a couple of appointments.
Custom Design: Your veneers are made to match your facial features, personality, and smile goals.
The Process: How Veneers and Laminates Are Applied
The process of getting veneers and laminates is simple. Here’s what you can expect:
Step 1: Consultation and Planning: During your initial appointment, your dentist will inspect your teeth, discuss your objectives, and take impressions or digital scans. This aids in customising the veneers to your specific face shape and smile.
Step 2: Tooth Preparation: A tiny portion of enamel (usually less than 0.5 mm) is gently removed to make space for the veneers. Don’t worry—it’s painless and preserves most of your natural tooth.
Step 3: Veneer Placement: Once your custom veneers are ready, your dentist will bond them to your teeth using a strong adhesive. Minor adjustments are made for perfect alignment, and your smile is ready to shine.
Cost of Veneers and Laminates in Marathahalli
The veneers and laminates treatment cost in Marathahalli depends on the various factors:
On average, porcelain veneers are more expensive but last longer and offer a more natural appearance. Composite veneers are more budget-friendly and great for temporary or minor corrections.
Book an appointment with our expert at Dental Canvas to learn more about the cost of dental veneers in Marathahalli.
Choosing the Right Dentist in Marathahalli
Selecting an experienced dentist is very important for achieving the best results. When looking for a dentist in Marathahalli, consider the following:
Expertise in Veneers and Laminates: Not all dentists specialize in cosmetic treatments. Choose someone who has experience in veneers as well as laminates.
Technology and Facilities: Look for dental clinics with digital scanners, 3D imaging, and modern dental tools for precise treatment.
Patient Reviews: Review online reviews, testimonials, and before-and-after photos to understand the quality of care provided.
Personalized Consultation: An experienced cosmetic dentist will listen to your concerns, explain your options, and create a personalized treatment plan that fits your needs.
Why Choose Dental Canvas for the Veneers and Laminates Treatment in Marathahalli?
At Dental Canvas, we offer a comprehensive range of cosmetic services under one roof—from veneers and laminates to teeth whitening and contouring. We have a team of experienced dentists, advanced technology, and a patient-friendly environment.
We guide you to ensure your veneers last longer and your smile stays picture-perfect.
Final Thoughts
A beautiful & perfect smile is a reflection of your personality and confidence. Whether you’re dealing with discolored, chipped, or gaps, dental veneers and laminates can give you the transformation you’ve been waiting for.
If you're considering veneers and laminates treatment in Marathahalli, book an appointment with us, a reputable cosmetic dental clinic in Marathahalli. We can guide you through the process and help you make the right decision. Everything becomes easier when you're in the hands of experts
Don’t let dental imperfections hold you back. Book an appointment with our expert at Dental Canvas for dental veneers in Marathahalli.
FAQs
The cost of veneers in Bangalore varies depending on factors such as the material used (porcelain or composite) and the number of veneers required. Veneers are typically considered a more premium dental treatment, so the price range can differ. It’s advisable to consult with a local dentist for an accurate estimate based on your specific needs.
Laminate veneers are generally considered a worthwhile investment for those seeking cosmetic dental improvement. They provide a natural, aesthetically pleasing appearance, are durable, and can correct imperfections such as chipped, stained, or misaligned teeth. They also require minimal tooth structure removal, making them a popular choice for many patients.
Veneers and laminates are thin, custom-made shells placed over the front surface of teeth to enhance their appearance. Veneers are typically made from porcelain or composite materials, with laminates being a type of veneer, often made of thinner porcelain. Both options are used to address cosmetic issues like discoloration, misalignment, or damage to the teeth.
